Ένθετα / Επένθετα
Εργαστηριακά Ένθετα και Επένθετα Σύνθετης Ρητίνης
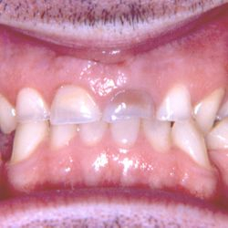
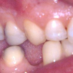
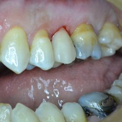
Ο 43χρονος αυτός ασθενής προσήλθε στο ιατρείο μας με έντονες αποτριβές των προσθίων και οπισθίων δοντιών του.
Ο αιτιολογικός παράγοντας για την καταστροφή της οδοντικής του ουσίας ήταν τα γαστρικά οξέα λόγω της χρόνιας γαστρο-οισοφαγικής παλινδρόμησης που παρουσίαζε.
Τα πρόσθια δόντια του αποκαταστάθηκαν με χτίσιμο σύνθετης ρητίνης επί τόπου ενώ τα οπίσθια δόντια του αποκαταστάσθηκαν με εργαστηριακά κατασκευασμένα επένθετα σύνθετης ρητίνης
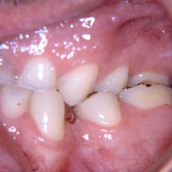
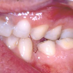
Ο κάτω γομφίος σε αυτή την νεαρή ασθενή έχει απονευρωθεί.
Για να εξασφαλίσουμε την καλή πρόγνωση του δοντιού και ταυτόχρονα την προστασία του από πιθανό κάταγμα, αποφασίστηκε η τοποθέτηση ενός επενθέτου εργαστηριακής σύνθετης ρητίνης.
Η διαδικασία ολοκληρώθηκε σε 2 ραντεβού, ενώ ο τροχισμός του δοντιού διατηρήθηκε στο ελάχιστο δυνατό.
Η εναλλακτική λύση θα ήταν να τροχιστεί εντελώς το δόντι και να τοποθετηθεί μια στεφάνη, οδηγώντας όμως έτσι σε αφαίρεση μεγάλης ποσότητας οδοντικής ουσίας.
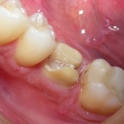
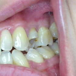
Ο προγόμφιος της φωτογραφίας υπέστη κάταγμα του παρειακού φύματος λόγω εκτεταμένης παλιάς έμφραξης αμαλγάματος.
Προκειμένου να αποφευχθεί ο τροχισμός του δοντιού για τοποθέτηση στεφάνης, διαδικασία που μπορεί να οδηγούσε σε νέκρωση του δοντιού, αποφασίστηκε η αφαίρεση της παλιάς έμφραξης αμαλγάματος και η αποκατάσταση του δοντιού με ένα επένθετο εργαστηριακής σύνθετης ρητίνης.
Ο εκτροχισμός που απαιτήθηκε για αυτή την διαδικασία ήταν ελάχιστος, έτσι το δόντι διατηρήθηκε ζωντανό χωρίς προβλήματα.
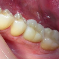
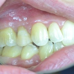
Η νεαρή αυτή ασθενής προσήλθε στο ιατρείο με κάταγμα του παρειακού φύματος του άνω αριστερού προγομφίου.
Το δόντι είχε υποστεί απονεύρωση. Προκειμένου να διαφυλαχθεί η δομική ακεραιότητα του υπολοίπου δοντιού, αποφασίστηκε να αποκατασταθεί το δόντι με εργαστηριακή επένθετη έμφραξη σύνθετης ρητίνης με ελάχιστη αποκοπή οδοντικής ουσίας.
Διατηρήθηκε έτσι ακέραιο το δόντι ενώ η αισθητική του αποκαταστάθηκε απόλυτα.
ΥΠΗΡΕΣΙΕΣ
ολοκληρωμένη περίθαλψη χρησιμοποιώντας τα πιο σύγχρονα μέσα και εξατομικευμένα πλάνα θεραπείας για τις ανάγκες εκάστοτε ασθενή.



















