Λευκά Σφραγίσματα
Ανασύσταση των Σπασμένων Προσθίων Άνω Δοντιών με Υλικά Τελευταίας Γενιάς
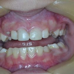
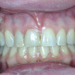
Το 9χρονο αυτό κοριτσάκι έσπασε τους κεντρικούς άνω τομείς μετά από πτώση στο έδαφος.
Τα δόντια απονευρώθηκαν και στη συνέχεια αποκαταστάθηκαν με συνδιασμό τοποθέτησης ενδοριζικών αξόνων και ανασυστάσεων σύνθετης ρητίνης.
Συγκεκριμένα, άξονες υαλονημάτων τελευταίας τεχνολογίας (ParaPost FiberWhite/Coltene και FiberCone/RTD) συγκολλήθηκαν εντός των ριζών και τα δόντια ανασυστήθηκαν με νανουβριδική σύνθετη ρητίνη (Herculite XVR Ultra/Kerr) με την βοήθεια ειδικής μήτρας/οδηγού από σιλικόνη.
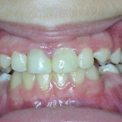
Το χαμόγελο της μικρής ασθενούς μας αποκαταστάθηκε άμεσα όπως είναι εμφανές στην τελευταία φωτογραφία.
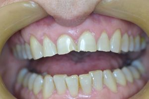
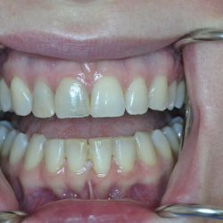
Η νεαρή αυτή ασθενής προσήλθε στο ιατρείο παραπονούμενη για την εμφάνιση των τεσσάρων άνω τομέων της.
Τα δόντια είχαν με την πάροδο των ετών σπάσει στην κοπτική τους επιφάνεια και το φαινόμενο αυτό επιδεινώνονταν σταδιακά με απώλεια όλο και περισσότερης οδοντικής ουσίας.
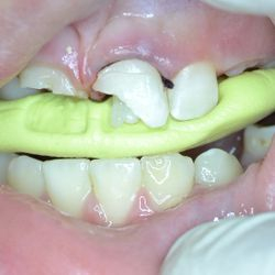
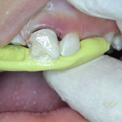
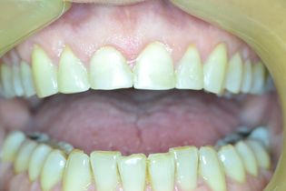
Αποφασίστηκε να αποκατασταθεί η δομική ακεραιότητα των δοντιών αυτών με χρήση σύνθετης ρητίνης νανουβριδικής τεχνολογίας (Herculite XVR Ultra/Kerr).
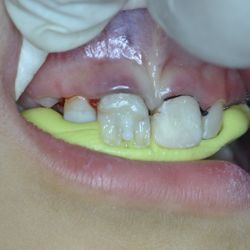
Η αποκατάσταση τους έγινε σε ένα ραντεβού και το αισθητικό αποτέλεσμα ικανοποίησε στο ακέραιο τις προσδοκίες της ασθενούς μας.
Αποκατάσταση Δυσχρωμίας Δοντιού με Όψεις Σύνθετης Ρητίνης
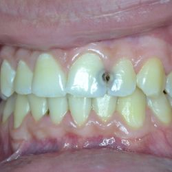
Η νεαρή αυτή ασθενής μας είχε ολοκληρώσει παλαιότερη ορθοδοντική θεραπεία, η οποία είχε οδηγήσει σε νέκρωση τον άνω δεξιό κεντρικό και πλάγιο τομέα.
Τα δόντια αυτά είχαν απονευρωθεί στο παρελθόν και είχαν μαυρίσει.
Τοποθετήθηκαν άξονες υαλονημάτων (ParaPost FiberWhite/Coltene) για ενίσχυση των ριζών και στη συνέχεια χτίστηκαν όψεις ρητίνης (Herculite XVR Ultra/Kerr) για να διορθωθεί η δυσχρωμία τους.
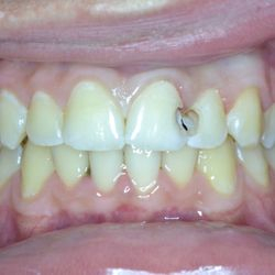
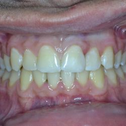
Αισθητική Αποκατάσταση Τερηδονισμένων Προσθίων Δοντιών
Νεαρός ασθενής 15 ετών προσήλθε στο ιατρείο μας για αποκατάσταση των τερηδονισμένων προσθίων άνω δοντιών του.
Μετά την αφαίρεση της τερηδόνας και την προετοιμασία των δοντιών,έγινε τοποθέτηση σφραγισμάτων σύνθετης ρητίνης τελευταίας γενιάς (HerculiteXRVUltra/Kerr) και αποκαταστάθηκε το χαμόγελο με τον πλέον αισθητικό τρόπο.
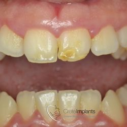
Αποκατάσταση Κατάγματος Οπισθίου Δοντιού
Ο ασθενής προσήλθε στο ιατρείο με κάταγμα του υπερώιου φύματος του άνω δευτέρου προγομφίου.
Αφαιρέθηκε η παλιά έμφραξη αμαλγάματος και προετοιμάστηκε κατάλληλα το δόντι.
Έγινε νέα έμφραξη νανο-υβριδικής σύνθετης ρητίνης τελευταίας γενιάς (HerculiteXRVUltra/Kerr) και το δόντι απέκτησε ξανά το σχήμα και την αντοχή που είχε πριν σπάσει.
Όψεις Σύνθετης Ρητίνης
Η 14χρονη αυτή ασθενής μας έπασχε από ατελή ενασβεστίωση αδαμαντίνης (καφέ κηλίδες) στα πρόσθια κεντρικά δόντια της άνω γνάθου.
Έγιναν 2 όψεις ρητίνης χωρίς αναισθησία και χωρίς να τροχιστούν τα δόντια της και αποκαταστάθηκε έτσι το χαμόγελο της.
ΥΠΗΡΕΣΙΕΣ
ολοκληρωμένη περίθαλψη χρησιμοποιώντας τα πιο σύγχρονα μέσα και εξατομικευμένα πλάνα θεραπείας για τις ανάγκες εκάστοτε ασθενή.



























