Οδοντικά Εμφυτεύματα
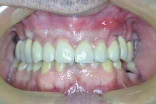
Ολική Στοματική Αποκατάσταση
με Ακίνητες και Κινητές Προσθέσεις επί Εμφυτευμάτων
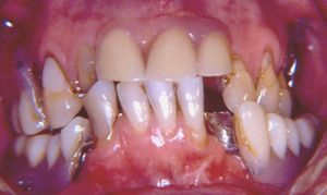
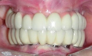
Ο ασθενής αυτός (58 ετών) προσήλθε στο ιατρείο φορώντας ένα ζευγάρι φθαρμένων άνω και κάτω μερικών οδοντοστοιχειών με τις οποίες δυσκολευόταν πολύ να φάει και να μιλήσει σωστά.
Επίσης, τον απασχολούσε ιδιαίτερα και η αισθητική του χαμόγελου του η οποία είχε διαταραχθεί με τα χρόνια εξαιτίας αυτών των οδοντοστοιχειών.
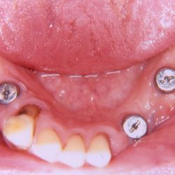
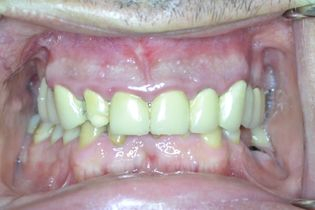
Αποφασίστηκε να τοποθετηθούν 2 εμφυτεύματα στην πρόσθια περιοχή της άνω γνάθου και 3 εμφυτεύματα στην κάτω γνάθο. Τα δόντια και τα εμφυτεύματα της άνω γνάθου αποκαταστάθηκαν με ακίνητες στεφάνες ενώ τα ελλείποντα πίσω δόντια στην κάτω γνάθο αναπληρώθηκαν με μία οδοντοστοιχεία ειδικής κατασκευής στηριζόμενη επί των 3 εμφυτευμάτων.
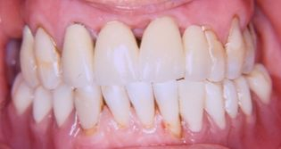
Το τελικό αποτέλεσμα, όπως φαίνεται και στις φωτογραφίες, αποτελεί τεράστια βελτίωση της στοματικής κατάστασης του ασθενούς, τόσο λειτουργικά όσο και αισθητικά.
Ολική Στοματική Αποκατάσταση
με Ακίνητες Γέφυρες επί Εμφυτευμάτων
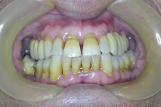
Η ασθενής της φωτογραφίας, 63 ετών, προσήλθε στο ιατρείο μας φορώντας ένα ζευγάρι άνω και κάτω ολικών οδοντοστοιχειών για αρκετά χρόνια.
Ανέφερε οτι ήταν πλέον αδύνατον να χρησιμοποιήσει τις παλιές οδοντοστοιχίες της για να τραφεί σωστά καθώς αυτές παρουσίαζαν έντονη κινητικότητα και ζήτησε να αποκαταστήσουμε το στόμα της με ακίνητες γέφυρες πάνω σε εμφυτεύματα.
Μετά από ενδελεχή τομογραφικό έλεγχο με την τελευταίας τεχνολογίας τομογραφία κωνικής δέσμης (CBCT), αποφασίστηκε να τοποθετηθούν 6 εμφυτεύματα στην άνω γνάθο και 6 εμφυτεύματα στην κάτω γνάθο σε στρατηγικές θέσεις.
Μετά την ολοκλήρωση της ενσωμάτωσης των εμφυτευμάτων, κατασκευάστηκαν ακίνητες γέφυρες πάνω στα εμφυτεύματα της, αποκαθιστώντας έτσι στο ακέραιο την μάσηση και το χαμόγελο της.
Αντικαθιστώντας Την Παλιά Μερική Οδοντοστοιχία
με Ακίνητες Επιεφυτευματικές Γέφυρες
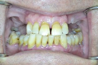
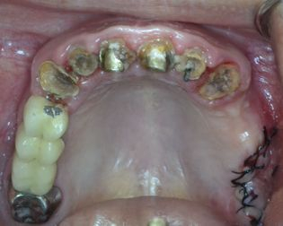
Ο 68χρονος ασθενής μας φορούσε επί πολλά έτη μια παλιά μερική οδοντοστοιχεία στην άνω γνάθο. Παραπονιόταν για δυσκολία στη μάσηση λόγω αστάθειας της συγκεκριμένης τεχνιτής οδοντοστοιχείας.
Είχε χάσει τα άνω οπίσθια δόντια του λόγω περιοδοντίτιδας.Μετά απο προσεκτικό σχεδιασμό, αποφασίστηκε η τοποθέτηση 2 εμφυτευμάτων στην άνω δεξιά πλευρά και 3 εμφυτευμάτων στην άνω αριστερή πλευρά.
Μετά την ολοκλήρωση της οστεοενσωμάτωσης των εμφυτευμάτων, τοποθετήθηκαν 2 ακίνητες γέφυρες στην άνω γνάθο και απεκαταστάθει το χαμόγελο και η δυνατότητα μάσησης του ασθενούς μας.
Μετά την ολοκλήρωση της οστεοενσωμάτωσης των εμφυτευμάτων, τοποθετήθηκαν 2 ακίνητες γέφυρες στην άνω γνάθο και απεκαταστάθει το χαμόγελο και η δυνατότητα μάσησης του ασθενούς μας.
Ολική αποκατάσταση άνω γνάθου
με Ακίνητη Γέφυρα επί εμφυτευμάτων
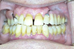
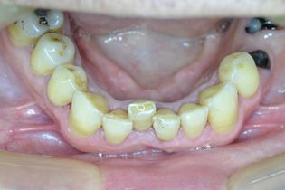
Ο 45χρονος αυτός ασθενής παραπέμφθηκε στο ιατρείο μας για αποκατάσταση των δοντιών της άνω γνάθου.
Η παλιά γέφυρα που είχε εμφάνιζε κινητικότητα και όταν αφαιρέθηκε διαπιστώθηκε οτι τα δόντια-στηρίγματα της ήταν κατεστραμένα και έπρεπε να εξαχθούν.
Παράλληλα, τα κάτω πρόσθια δόντια είχαν υποστεί εκτεταμένη αποτριβή εξαιτίας της διαρκούς τριβής τους με την άνω γέφυρα.
Αποφασίστηκε η εξαγωγή των κατεστραμένων/τερηδονισμένων δοντιών στην άνω γνάθο και η τοποθέτηση 5 εμφυτευμάτων σε στρατηγικές θέσεις.
Μετά την ολοκλήρωση της οστεοενσωμάτωσης των εμφυτευμάτων, κατασκευάστηκε νέα γέφυρα μεταλλοπορσελάνης στην άνω γνάθο ενώ τα κάτω πρόσθια δόντια χτίστηκαν με εμφράξεις ρητίνης στο ίδιο χρώμα για να αποφευχθεί περαιτέρω αποτριβή τους.
Η ικανοποίηση του ασθενούς με την αποκατάσταση του στόματος του απεικονίζεται έκδηλα στο χαμόγελο του.
ΥΠΗΡΕΣΙΕΣ
ολοκληρωμένη περίθαλψη χρησιμοποιώντας τα πιο σύγχρονα μέσα και εξατομικευμένα πλάνα θεραπείας για τις ανάγκες εκάστοτε ασθενή.


























